文献速览 | 鲍曼不动杆菌耐药性传播
- 看不见的线
- 2600
- 2025-04-16 09:05:17
- 文章来源:MarineBiofilm

文章题目:Interplay between the Xer recombination system and the dissemination of antibioresistance in Acinetobacter baumannii
文章链接:https://doi.org/10.1093/nar/gkae1255
发表时间:2025.01
期刊:Nucleic Acids Research
影响因子:16.6
摘要
抗生素耐药性感染是一项紧迫的临床挑战。已知质粒通过促进抗生素耐药基因在细菌间的水平基因转移加速了耐药性的出现。我们以鲍曼不动杆菌为研究对象探讨这一问题,因为鲍曼不动杆菌耐药性(尤其涉及质粒的耐药性)的不断积累令人担忧。在该菌种中,Rep_3家族的质粒携带的抗生素耐药基因位于由XerCD重组酶识别的位点特异性重组位点侧翼的可变区域内。我们首先证明鲍曼不动杆菌的Xer系统功能与大肠杆菌类似,可在染色体dif位点解离二聚体并重组质粒携带的位点。然而,Rep_3质粒中存在的多个Xer重组位点并不导致质粒片段的切除,而是通过重组使质粒发生共整合,从而为基因交换提供演化基础。共整合体在质粒群体中占据显著比例,其形成受重组位点序列调控——这些序列决定了重组位点间的兼容性。我们得出结论:鲍曼不动杆菌中的质粒通过Xer重组频繁发生重组,这使得耐药基因的获取与组合在高度可塑性的同时又受到精准调控。

前言
在细菌中,大多数复制子是环状的,在其复制过程中,奇数次的同源重组事件导致了它们的二聚化。这干扰了在细胞分裂过程中复制子在子细胞间的均匀分布。为了克服这个问题,原核生物进化出了复制子二聚体解聚位点,我们称之为xrs ( Xer重组位点),由专一的Xer重组酶作用。这一功能对于忠实复制子分离的重要性说明了其高度的保守性,Xer系统现在也被认为是细菌和古细菌中环状染色体最保守的结构特征之一。
Xer CD重组过程特别适合描述位于细菌染色体上的独特xrs,称为dif位点。dif位点由两个被中心区域隔开的蛋白结合臂组成。XerC和XerD分别与各自的结合臂特异性结合,形成重组复合物。在这个复合物中,一对重组酶Xer C或Xer D催化对DNA的亲核攻击,并与dif位点形成共价键。然后在中心区域的两个dif拷贝之间交换链,形成Holliday结。然后第二对重组酶切割并交换第二对链,完成重组反应。

Xer是一种位点特异性重组系统,在细胞分裂前分解染色体二聚体(图中1)。Xer被质粒劫持,以分解其二聚体,确保其正确的垂直传播(图中2)。Xer重组位点( xrs )表现为黑白盒子。存在于染色体上的xrs称为dif。黑色圆圈代表了复制的起源。xrs由一个XerC结合臂(黑色矩形)和一个XerD结合臂(白色矩形)组成,中间用一个中心区域(CR)隔开。XerC (灰色圆圈)和XerD (白色圆圈)与dif (或xrs )结合形成重组复合体(图中a过程),一旦被Fts K激活,它们将催化中心区域( 图中b过程 )的两条DNA链依次交换形成重组DNA。为了重组染色体上的dif位点,XerD首先被细菌分裂蛋白FtsK激活。Fts K通过识别染色体上与dif定向的KOPS序列转座到dif。FtsK到达dif位点后,通过与XerD的特异性接触激活重组。这种FtsK对XerCD-dif重组的控制允许时空控制染色体二聚体的分离:在分隔过程中处于细胞中部。质粒也受到这种二聚化问题的影响。其中一些利用Xer系统来解离它们的二聚体形式,还有一些已经进化出不依赖于细菌细胞周期的Xrs(例如cer或psi为与FtsK无关的xrs)。
虽然,预期上认为质粒携带单个xrs位点以解离二聚体,但越来越多的鲍曼不动杆菌质粒携带多个xrs(称为Re27、pdif或pXerC/D)。鲍曼不动杆菌是一种参与院内感染疾病的人类病原菌,其质粒上xrs的积累可能与其能够获得对多种抗生素的耐药性有关。例如,pABV01质粒含有两个位于blaoxa-24基因侧翼的xrs,这赋予了其对碳青霉烯类抗生素的耐药性。这个质粒与另外两个非常相似的( p2ABAYE和pAB0057)相关,除了它们的两个xrs侧翼的区域。这些观察结果引出了xrs基因盒(2个xrs侧翼的适应性基因,也被称为pdif模块) 的概念,暗示Xer系统参与了抗生素抗性基因的传播。最近的工作表明,存在于Ab质粒上的xrs是质粒之间重组的热点,它们可以被Xer重组酶处理。然而,对于这些序列和/或基因盒的活性以及它们是否是真正的Xer重组序列却知之甚少。本文对Ab的Xer系统在染色体( dif )和质粒xrs上的功能进行了研究。我们的结果表明,Xer通过一种原始的协整/解离机制催化Ab质粒之间的重组,这可能解释了抗生素耐药性在这种人类病原体中的迅速传播。

一些鲍曼不动杆菌的质粒携带多个xrs,并且这些区域高度相同,除了xrs侧翼的区域。第一个保守区包含复制功能:repB和iterons。第二个保守区包含一个TONB依赖的受体基因。图中显示了可变基因两侧的xrs,并对其序列进行了比对。
结果
01 鲍曼不动杆菌Xer系统的特征分析
鲍曼不动杆菌中 Xer CD / dif系统是一个典型的位点特异性重组系统,在分裂蛋白Fts K的控制下参与染色体二聚体的拆分。

02 鲍曼不动杆菌质粒携带多个Xer重组位点

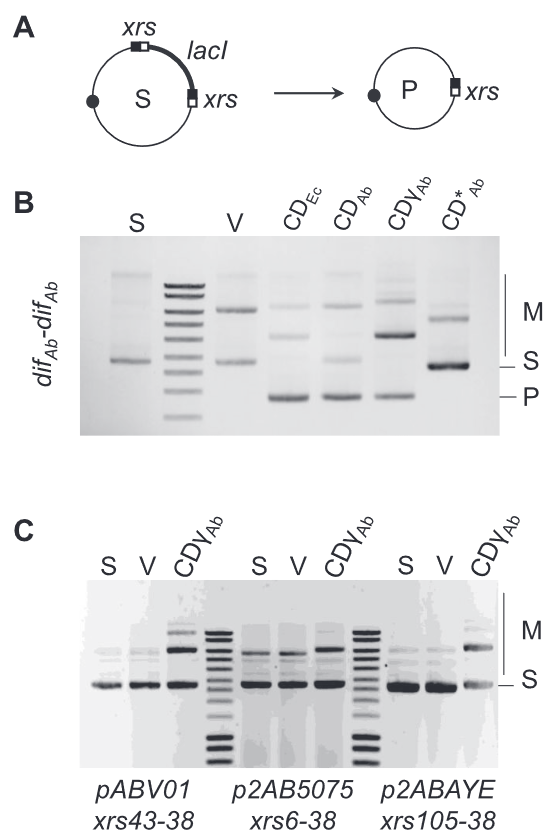
03 在鲍曼不动杆菌质粒上发现的xrs盒子并不形成可切除的模块
这里检测了xerC和xerD基因缺失并从质粒中表达不同版本的xerC和xerD基因的大肠杆菌中的模块切除情况。用质粒( S )转化这些菌株,其中lac I基因位于测试的xrs对的侧翼。在表达xerCD基因的大肠杆菌或Ab菌株中,直接重复的difAb位点之间观察到缺失产物( P )。有趣的是,本实验还发现xerCDγAb在这些菌株中的表达导致了含xrs质粒的多聚体形式的形成。这证实了xrs在体内被XerCDγAb识别并重组,导致重组发生在质粒分子之间(分子间)而非质粒内部(分子内)。

04 鲍曼不动杆菌携带xrs复制子之间的高重组率
Xer重组通常允许以相同的中心区域直接定向切除由xrs对侧翼的DNA片段。值得注意的是,在Ab质粒中,大多数xrs侧翼的适应性基因通常处于相反的方向和/或具有不同的中心区域。携带xrs的Ab质粒发生分子内Xer重组,因此是不可能的。另外,基因交换也可以通过共存质粒携带的xrs之间的重组来实现。具有紧密相关中心区域的xrs之间的分子间重组会使质粒发生共整合。通过第二对相容的xrs之间的分子内重组来解决这种协整关系,然后将导致重组质粒之间的基因交换。
为了研究不同质粒之间的分子间重组,本文利用了AYE菌株,该菌株含有两个不同且相容的Rep_3家族质粒p1ABAYE ( p1 )和p2ABAYE ( p2 ),均携带多个xrs。两个质粒之间存在0.1 - 1 %的稳态整合率。

参考文献
Blanchais C, Pages C, Campos M, et al. Interplay between the Xer recombination system and the dissemination of antibioresistance in Acinetobacter baumannii. Nucleic Acids Res. 2025;53(1):gkae1255.
-
点赞 (0人)
- 收藏 (0人)

